Kuvagalleria
Mikroskooppi
Myydään
Toimitus alkaen 6,90 € + ToriDiili-palvelumaksu 4,25 €
Shoppaile ToriDiilillä kuin verkkokaupassa
ToriDiili on Torin uusi maksu- ja kuljetuspalvelu. Toimituksen jälkeen sinulla on 24 tuntia aikaa tarkastaa tuote ennen kuin rahat siirretään myyjälle.
Tuotteen kuvaus
Kunto: Kohtalainen
Biolam-merkkinen mikroskooppi puulaatikossa, mukana tarvikkeita ja noin 15 näytelasia. Vanerilaatikon mitat ovat noin 20x27x36cm.
Aparaatti on vanhaa venäläistä neuvostoliiton aikaista tekoa ja on ollut koulukäytössä Hyvinkäällä.
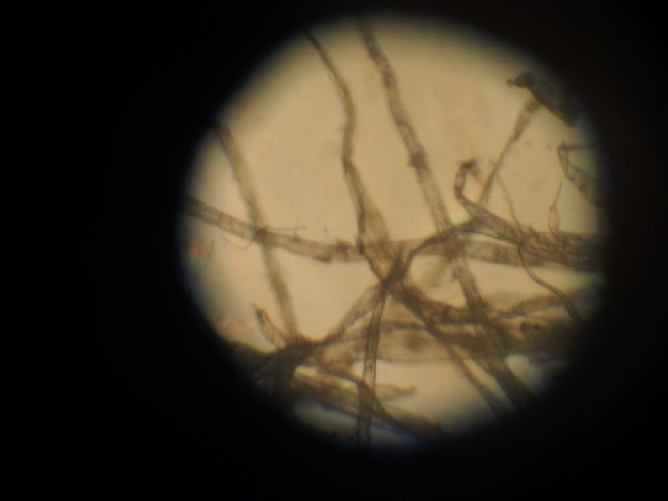
Tätä ilmoitusta varten tutkin laitteen toiminnan ja totesin vekottimen säätöjen olevan umpi juntturassa, vanhat vaseliinit olivat muuttuneet liimaksi -> parin päivän aikana liotin säädöt auki, eli nyt toimii (ja sain tämän viimein Toriin). Hienosäätö on hieman jäykkä, siksi vekotinta kannattaa pitää lämpimässä. MInä testailin laitetta ja sain näkymään vain pienimmällä pötykällä, vai mitä ne pienet objektiivin näköiset ovatkaan nimeltään. En tiedä onko vika laitteessa vai käyttäjässä, ehkä molemmissa. Kuvissa näkyy puhtaan talouspaperin ja ompelulangan suurennosta (kuvat ovat sumeita, koska kameran tarkentaminen oli vähän vaikeaa).
Aparaatin kuntoluokitus on vähän vaikea sanoa.. kohtalainen, koska sain toimimaan ihan hyvin pienimmällä linssillä, mutta isommilla en saanut näkymään oikein mitään. Linssien puhtaus on epävarma. luutavasti niitä pitäisi putsata, mutta en nyt alkanut niitä millään rasvatrasselilla hinkkaamaan.
Käyttäjäprofiili
Kirjaudu sisään, jos haluat nähdä profiilin ja lähettää viestejä.
Kirjaudu sisäänIlmoituksen metatiedot
Viimeksi muokattu: 19.1.2026 klo 17.17 ・ Ilmoituksen tunnus: 35904138